Canabinoides e demências

Como funciona e quais evidências para a indicação dos canabinoides para o tratamento das demências Demências O termo demência é um termo abrangente usado para descrever vários sintomas diferentes causados por condições ou distúrbios que afetam o cérebro, estando associada a um declínio nas funções cognitivas, sociais ou ocupacionais, como pensamento lógico ou abstrato, processamento mental-emocional, resolução […]
Recomendações da Sociedade Brasileira de Pediatria para indicação dos canabinoides em crianças 2022

Recomendações da Sociedade Brasileira de Pediatria na indicação dos canabinoides 2022 Canabinoides e suas indicações na pediatria Abaixo disponibilizamos as recomendações atuais da Sociedade Brasileira de Pediatria para a indicação médica nas crianças e nas patologias referentes às epilepsias da infância e da adolescência e nos transtornos do desenvolvimento global. O manual foi publicado no […]
Pesquisas clínicas demonstrando a eficácia dos Canabinoides para a dor crônica

Pesquisas clínicas mais atuais sobre a eficácia da Cannabis para a dor crônica O vídeo abaixo é de curta duração mas traz algumas das evidências e pesquisas divulgadas trazendo consenso para indicação deste tratamento em diversas sociedades médicas internacionais principalmente na União Européia e Canadense. Esse é uma série de vídeos explicando as recomendações internacionais […]
Propriedade neuroprotetora dos canabinoides

Explicando a propriedade neuroprotetora ” A neuroproteção é definida como a capacidade de uma terapia de prevenir a morte celular neuronal, intervindo e inibindo a cascata patogenética que resulta em disfunção celular e eventual morte ” Blue Books of Neurology. Essa propriedade é parte do mecanismo de ação de diversas substâncias e compostos presentes na natureza, […]
Evidências Clínicas do uso dos canabinoides para Dor Crônica

Evidências clínicas para a indicação dos canabinoides para o tratamento e controle da dor crônica Diante das contradições vistas pelo posicionamento do Conselho Federal de Medicina ao publicar a recomendação 2324/22 em que proíbe a prescrição dos canabinoides para patologias diversas pela falta de pesquisas favoráveis que demonstrem os benefícios para essa finalidade. Eu como […]
Cannabis para Dor Crônica

Quando se trata de dor crônica, em grande parte das vezes, são de duração longa ou por vezes as pessoas sofrem durante toda a vida. O paciente vai até o consultório médico pela enésima vez e lhe é prescrito mais uma fórmula alopática na tentativa de eliminar as dores e não obtém sucesso. São histórias […]
Tudo sobre os Terpenos e suas aplicações terapêuticas

A planta cannabis consiste em uma grande variedade de produtos químicos e compostos. Cerca de 140 deles pertencem a uma grande classe de hidrocarbonetos orgânicos aromáticos conhecidos como terpenos (pronuncia-se tur-peens). Você também pode ter ouvido pessoas falando sobre os terpenóides . As palavras terpeno e terpenóide são cada vez mais usadas como sinônimos, embora esses termos tenham significados diferentes. A principal diferença […]
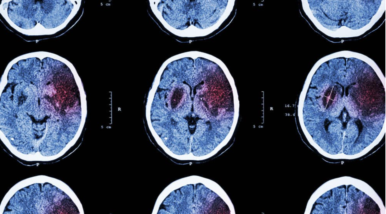
Evidências para o uso da cannabis na Isquêmia Cerebral e os benefícios dos terpenos

Isquemia cerebral : cannabis e terpenos no tratamento Os tratamentos atuais para isquêmia cerebral ou acidente vascular encefálico, que respondem por 6,5 milhões de mortes globais anualmente, continuam insuficientes para o tratamento de incapacidades e mortalidade. Uma característica marcante do Acidente Vascular Cerebral é a resposta inflamatória após o infarto, que leva a danos significativos após […]
O papel dos canabinoides na relação do estresse crônico com o Intestino Irritável

Ação do sistema endocanabinoide e seu papel no estresse crônico O mecanismo de ação dos canabinoides, sejam provenientes da planta (os fitocanabinoides) ou os produzidos pelo próprio organismo, ocorre através de receptores que fazem parte de um sistema canabinoide endógeno. O sistema endocanabinoide (SEC) possui como estrutura seus ligantes naturais N -araquidonoiletanolamina (anandamida) e 2-araquidonoilglicerol (2-AG), suas enzimas […]
Cannabis & Covid-19 : Pesquisadores descobrem forma de prevenir a infecção pelo coronavírus através de fitocanabinoides

Cannabis e Covid Os compostos da cannabis podem prevenir a infecção pelo vírus que causa o Covid-19, bloqueando sua entrada nas células, de acordo com um estudo publicado esta semana por pesquisadores afiliados à Oregon State University. Um relatório sobre a pesquisa, “Cannabinoids Block Cellular Entry of SARS-CoV-2 and the Emerging Variants”, foi publicado online na […]
Cannabis e Autismo – Entrevista Dra Bonni Goldstein

TRANSCRIÇÃO : DESCOBERTA DE PESQUISA – CANNABIS E AUTISMO UMA ENTREVISTA COM BONNI GOLDSTEIN, MD (Esta transcrição foi ligeiramente editada para maior clareza.) Link da Entrevista por vídeo Projeto CBD : Sou Martin Lee do Projeto CBD , e hoje falaremos com a Dra. Bonni Goldstein. Dr. Goldstein é pediatra e clínico pioneiro em cannabis. Ela é a diretora do Canna-Centers, uma rede de médicos com sede na Califórnia […]